歯並びだけじゃない?矯正中のスタッフが感動した「声かけ」と「調整日」の話
2025年2月6日
テーマ:矯正治療の経過
皆さん、こんにちは。
医療法人社団栗林歯科医院 丸の内院で管理栄養士・受付を担当しているスタッフです。
前回のブログから数ヶ月が経ちましたが、皆さまいかがお過ごしでしょうか?
私は2025年1月から当院で矯正治療を始めて、もうすぐ1年が経とうとしています。
今回は、治療中のリアルな経過報告「第二弾」として、現在の歯並びの状況や、患者様側になって初めて気づいた院内の様子などをお届けしたいと思います。
現在矯正中の方も、これから始めようか迷っている方も、ぜひ参考にしてみてくださいね。
【1】見た目の次は「噛む機能」も実感!新しい装置も仲間入りしました

私が矯正治療をスタートしたのは、2025年の1月。
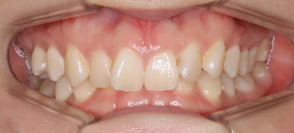
前回のブログ(11月)では、抜歯した部分の隙間がすっかり埋まり、気になっていた前歯のガタガタがほぼ綺麗に整ったことをご報告しました。見た目が変わると、鏡を見るのが本当に楽しくなりますよね。
でも、私の治療はここで終わりではありません。

実は診断の際に、先生から「ディープバイト(過蓋咬合)」であることを指摘されていました。

これは上の歯が下の歯に深く被さりすぎている状態で、見た目だけでなく、歯の寿命にも関わることなんです。
最近の調整で特に嬉しかったのは、「噛み合わせ」の変化です。

矯正を始めたばかりの頃は、歯が動くことで一時的に噛み合わせが変わり、食事のしにくさを感じる時期もありました。でも今月調整をした時、以前よりも上と下の歯がしっかりと噛み合う感覚が戻ってきたんです!
「あ、正しい位置で噛めてる!」と実感できると、治療が順調に進んでいることが分かってモチベーションが上がりますね。
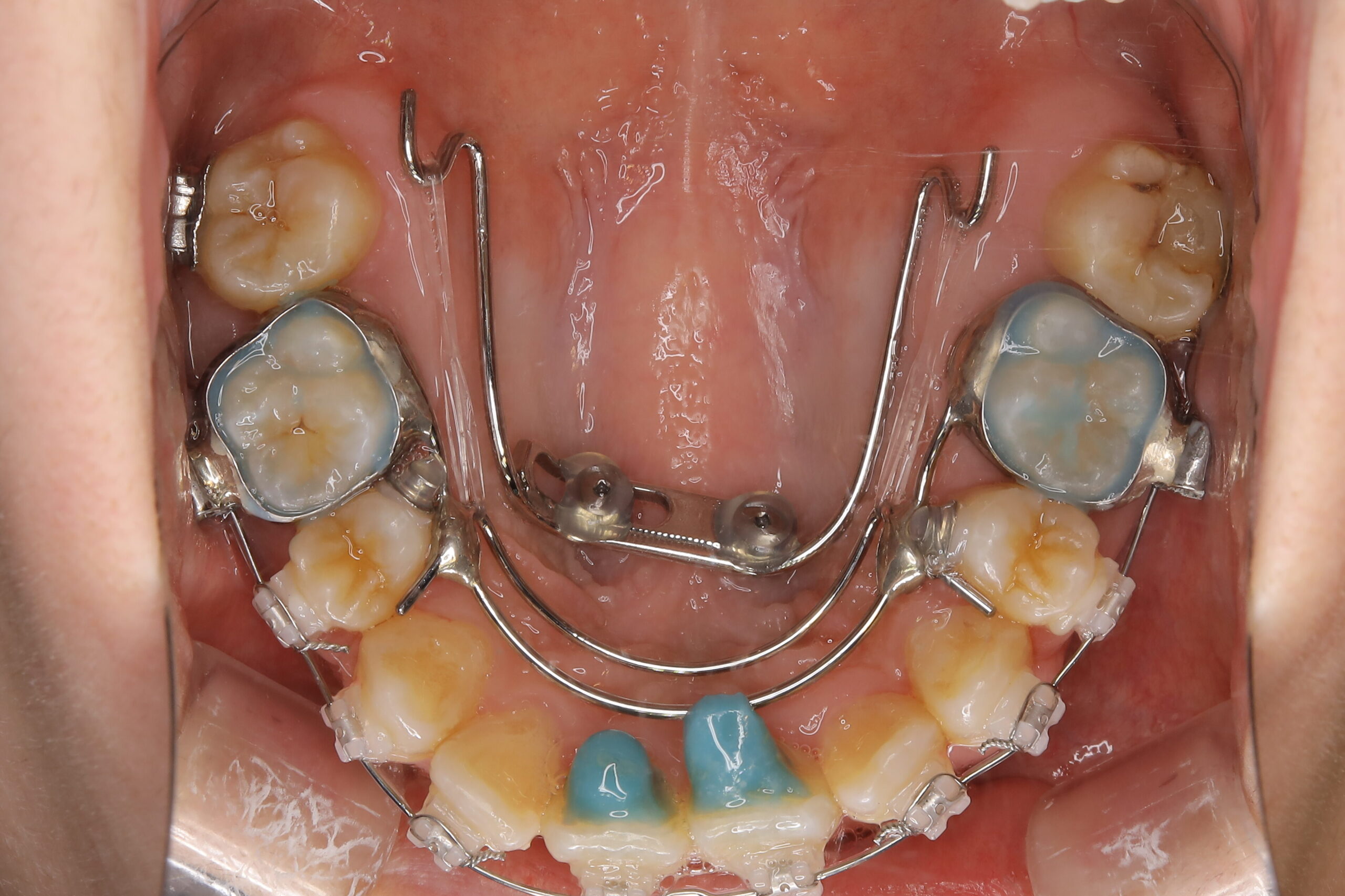
そして今回、治療をさらに進めるために新しい装置が仲間入りしました。

その名も「ベネフィット」。
これは上の歯をぐっと後ろに引っ張るための装置です。お口の中に新しい装置が入ると少しドキドキしますが、これでまた理想の歯並びに近づくと思うと楽しみです。
【2】目隠し中の「声かけ」に救われました!受付で見守る患者様の変化

今回、新しい装置への交換や調整を行ったのですが、改めて感動したことがあります。それは、歯科助手さんの丁寧な「声かけ」です。

治療中は目元にタオルをかけていただくため、どうしても視界が塞がれてしまいます。「次は何をされるんだろう?」と少し不安になる瞬間もありますよね。
そんな時、スタッフが「歯に響く感じがしますよ」「少し押しますね」「ワイヤーを締めていきます」と、処置のたびに細かく声をかけてくれたんです。
次に何が起こるか分かるだけで、こんなに安心できるんだなと、患者様の立場になって初めて気づくことができました。丸の内院のスタッフの優しさに、私自身が救われた時間でした。
また、普段は受付に立っている私ですが、そこでも気づいた変化があります。

矯正を始めたばかりの患者様は、「慣れるまで大変です」「少し痛みが…」と仰ることも少なくありません。私も経験者なので、「分かります!」と心の中で深く共感しています。
でも、治療が進んで歯が綺麗に並んでくると、皆さんの表情が変わってくるんです。
大変そうな顔をされていた方が、だんだんと明るい表情になり、痛みよりも「綺麗になる喜び」の方が上回っていくのを感じます。
私自身もそうですが、目に見える変化こそが一番のモチベーションになるんですよね。
【3】写真で見ると一目瞭然!自信を持って「矯正中」と言える自分に

もう一つ、丸の内院で矯正をしていて良かったなと思うのが、先生の説明の分かりやすさです。
調整の日には、前回の口腔内写真と、当日に調整した後の写真を並べて見せてもらえるんです。「ここがこう動きましたよ」と視覚的に説明してもらえるので、自分では気づきにくい細かな変化も一目瞭然!

毎日鏡を見ているだけでは分からない進歩を先生が教えてくれるので、「よし、また頑張ろう」という気持ちになれます。
こうした変化を実感できているおかげで、受付に立っている時の気持ちも大きく変わりました。
以前は歯並びが気になって、無意識に口元を隠したり、控えめに笑ったりしていたかもしれません。でも今は、装置がついていても堂々と患者様と向き合えるようになりました。

むしろ、矯正装置が見えることで、同じように矯正を検討されている患者様から「実は私も気になっていて…」と声をかけていただくことも増えました。「私も今、頑張ってるところなんです!」とお話しできるのが嬉しくて、自然と笑顔が増えた気がします。
矯正は隠すものではなく、自分を良くするためのポジティブな期間なんだと、身をもって感じています。
【4】ゴールはもうすぐ?装置が外れたらやりたいことリスト
治療もいよいよ後半戦。もし装置が外れたら、真っ先にやりたいことが2つあります。

1つ目は、当院の歯科衛生士さんに「本格的な口腔内ケア」をしてもらうこと!
今はどうしても装置の周りに磨き残しができやすいので、何もなくなった状態でプロの手でピカピカに磨いてもらいたいんです。あのツルツルの舌触りを想像するだけで楽しみです。

2つ目は、「歯を見せてにっこり笑って自撮り」をすること(笑)。
以前はコンプレックスだった口元が、チャームポイントに変わる瞬間を写真に残したいなと思っています。
矯正治療は、期間もかかりますし、決して楽なことばかりではありません。でも、その先には「やってよかった!」と思える未来が待っています。
もし丸の内院で私(受付)を見かけたら、ぜひ「ブログ見ました」と声をかけてくださいね。矯正の先輩として、そしてスタッフとして、皆さんの不安や疑問に寄り添えたら嬉しいです。
一緒に、素敵な笑顔を目指しましょう!
栗林歯科医院 丸の内院でもご相談を承っております。
論文知識の豊富なドクターや歯周病認定衛生士が在籍しております。
#オアゾ #予防歯科 #定期検診 #大手町 #歯医者 #東京駅 #丸の内 #おすすめ #PMTC #ホワイトニング
管理栄養士・受付