虫歯 / 料金案内

「虫歯ってどうしてできるの?」
「治したのにまた虫歯になってしまった…」

そんなお悩みを抱えている方は少なくありません。

虫歯は放置すると歯を失う大きな原因になりますが、正しい予防と適切な治療によって長く健康な歯を守ることができます。

このページでは、虫歯の予防方法から治療法、料金の目安までわかりやすくご紹介します。

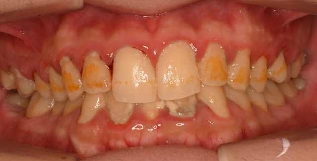
1. なぜ虫歯になるのか?

虫歯イメージ

「虫歯は歯みがき不足や甘いものの食べ過ぎが原因」と思われがちですが、実際はもう少し複雑です。

私たちの歯の表面には、歯みがきをしても必ずどこかに細菌(プラーク)が残っています。プラークは食事の糖分をエサにして酸を作り、それによって歯が溶けてしまいます。食後およそ1時間は歯が溶け続け(脱灰)、その後は唾液の力で酸が中和され、唾液中のカルシウムやリンが歯に戻る(再石灰化)ことで、歯は元に戻ろうとします。

「虫歯=脱灰と再石灰化のバランスが崩れている状態」なわけです。

2. 虫歯の主な原因

  1. 飲食の回数が多いこと
    食事や間食のたびに歯は酸にさらされます。回数が多いほど「溶ける時間」が長くなり、逆に「戻る時間(再石灰化)」が減ってしまうため、虫歯のリスクが高まります。
    例えば1日3回食事する人より、5回・6回と小分けに食べる人の方が虫歯になりやすいのです。
    Gustafsson 1954飲食の回数が多いこと
  2. 唾液量が少ない・フッ化物を適切に使用していない
    脱灰(歯が溶ける)と再石灰化(歯が修復される)は常に繰り返されています。唾液には再石灰化を起こす効果があり、フッ素歯磨き粉にはそれを強化する効果があります。フッ素歯磨剤を使用するようになってから世界中の虫歯は減少し、日本でも遅れてフッ素歯磨剤が普及して同じように虫歯が減少しています。(次で詳しく解説) 唾液量が少ない・フッ化物を適切に使用していない
  3. 磨き残しが長期間あること
    磨きにくい場所(奥歯の溝、歯と歯の間、詰め物と歯の隙間など)は細菌がたまりやすく、虫歯菌が増えてしまいます。その結果、同じ食生活でも酸を多く作り出し、虫歯が進行しやすくなります。

3. 虫歯の予防方法

予防方法ダミー画像1 予防方法ダミー画像2 予防方法ダミー画像3

虫歯は「ならないようにすること」が最も大切です。

また、「虫歯リスクを下げること」は「詰め物・被せ物の成功率を上げる」ことも研究で示されています。
Kubo 2011
当院では以下の点を重点的に指導しています。

  • セルフケア:1450ppmFの歯磨き粉を使用、ゆすぐ回数を0-1回(イエテボリテクニック Sjogren 1995
  • 食生活の工夫:飲食回数を5回以下に(Duggal 2001
  • 定期検診/PMTC/フッ素塗布:マイクロスコープ・拡大鏡での虫歯チェック、エアフローPMTC、9000ppm高濃度フッ素塗布(Axelsson 2004

「虫歯になってから治す」のではなく、「虫歯にならない環境をつくる」ことが重要です。

こちらのページには詳しく最新の虫歯予防方法について解説していますのでご覧ください。

4. 虫歯の治療方法・料金(詰め物・被せ物)

虫歯治療

進行度や状態によって、治療法は大きく変わります。

当院では、歯をできるだけ残すこと・再発を防ぐことを重視しています。

治療前には上で紹介した【原因療法】ができており、歯の再石灰化が起きている状態にする必要があります。これをせずに治療を行なっても、数年後にまた治療が必要な状態になり、どんどん歯を失っていく可能性が高まります。

治療中はラバーダムや防湿を行うことで、唾液や血液の影響を防ぎ、接着の精度を高めます。(自由診療)

これにより、治療の持ちを良くし、再発リスクを減らす可能性があります

(1)CR/銀歯(保険診療)

CR/銀歯 保険診療

– 虫歯の保険治療と自費治療の違いを動画解説

虫歯の場合に樹脂材料を詰めたり、銀歯を詰める治療です。

保険診療で使える材料・時間の範囲内で丁寧な診療を行なっています。

  • 費用:¥1,500-¥5,000程度
  • リスク・副作用: 虫歯が深い場合、神経の治療が必要になることがあります。経年的に着色や金属の変色が起こることがあります。 CRは噛み合わせが強い場合、割れることがあります。 隙間のある詰め物になる可能性があります。 接着剤の経年劣化が早く、早期に脱離する可能性があります。

(2)ダイレクトボンディング

ダイレクトボンディング

– ダイレクトボンディングについて動画解説

歯を最小限だけ削り、白い樹脂を直接詰めて修復します。

近年は自然な見た目と接着力・強度に優れた材料が開発されています。

このような材料をラバーダム防湿を使用して、なるべく長く保つように治療します。

  • 費用:50,000+税
  • リスク・副作用: 虫歯が深い場合、神経の治療が必要になることがあります。 噛み合わせが強い場合、割れたり脱離することがあります。 経年的に着色が起こることがあります。

(3)e.max・ジルコニア インレー/オンレー

e.max・ジルコニア

高強度のセラミックス材料をラバーダム防湿やZoo防湿を行い、接着させる治療です。

以前のセラミックスは強度が低かったため1.5-2.0mm以上の厚みが必要で、その分の歯を削る必要がありましたが、高強度セラミックス材料では1.0mmの厚みで十分な強度があります。

e.maxは適切に治療を行うと16年96.49% 成功したという研究結果も海外では報告されています。 (Malament 2021

ただセラミックスを使うのではなく、適切な防湿・清掃・接着剤料を用いることで長く保つ工夫をしています。

  • 費用:120,000+税(インレー・オンレー)
  • リスク・副作用: 虫歯が深い場合、神経の治療が必要になることがあります。 噛み合わせが強い場合、割れたり脱離することがあります。 経年的に接着部に着色が起こることがあります。

(4)e.max テーブルトップベニア・ジルコニアクラウン

e.max テーブルトップベニア

e.maxは接着力の高い材料で接着すると強度が高くなります。 さらに現在の接着剤は以前と比べて高くなっているため、被せ物の削る範囲を歯の上部だけにできるようになりました。

  • 費用:140,000+税(e.maxテーブルトップベニア・ジルコニアクラウン)
  • リスク・副作用: 虫歯が深い場合、神経の治療が必要になることがあります。 噛み合わせが強い場合、割れたり脱離することがあります。 経年的に接着部に着色が起こることがあります。

– 詰め物・被せ物の選び方の動画

5. 虫歯治療 | 料金一覧表

治療項目 費用
CR・銀歯 ¥1,500-¥5,000(保険診療)
ダイレクトボンディング ¥50,000+税
e.max インレー/オンレー ¥120,000+税
e.max テーブルトップベニア/クラウン(臼歯) ¥140,000+税
e.max ラミネートベニア/クラウン(前歯) ¥170,000+税
ジルコニア インレー/オンレー ¥120,000+税
ジルコニア クラウン(臼歯) ¥140,000+税
ジルコニア クラウン(前歯) ¥170,000+税

6. まとめ

虫歯は一度進行すると自然に治ることはありません。

ですが、削って詰めるだけでは再発のリスクが残る場合があります。まずは原因療法を徹底して、その後適切な詰め物・被せ物を処置する必要があります。

「自分の歯を守りたい」「できるだけ削りたくない」という方は、ぜひ一度ご相談ください。

予約・お問い合わせはこちら

歯周病 / 料金案内

「歯ぐきから血が出る」「口臭が気になる」「歯がグラグラする」…
こうした症状がある場合、歯周病が進行している可能性があります。
歯周病について原因〜治療法、料金まで解説します。

1. 歯周病とは?

歯の表面には毎日バイ菌(プラーク=バイオフィルム)が付着します。
そのプラークが炎症を起こし、歯ぐきから出血 → 骨が溶けていくのが歯周病です。

怖いのは無症状のまま進行すること。痛みがなくても骨が失われていることがあります。

日本人の8割が歯周病とされます(歯肉炎と歯周炎をまとめて歯周病としています)。

テーマパーク8020より画像引用
テーマパーク8020より画像引用

また、日本人の歯を失う原因の第1位となっていて、歯周病の対策を行うことが長く自分の歯で噛むために重要となります。

テーマパーク8020より画像引用

2. 歯周病の原因と進行

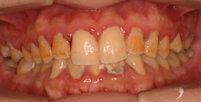
原因は、歯についたプラーク(細菌の塊)です。

歯の表面のプラーク。実際にはこのようには見えないですが、プラーク1gに1000億〜1兆個の細菌がいるとされます。
歯の表面のプラーク。プラーク1gに1000億〜1兆個の細菌がいるとされます。

プラークが停滞し、初期の歯グキが腫れた状態を「歯肉炎」と呼びます。

歯肉炎。歯の表面についたプラークが歯グキに感染し、炎症を起こします。
歯肉炎。歯の表面についたプラークが歯グキに感染し、炎症を起こします。

歯と歯グキは付着(くっついて)いますが、この歯肉炎の状態が続くと付着が剥がれ、そこにプラークや歯石が停滞します。

歯周病=付着の喪失
歯周病=付着の喪失

プラークはうがい薬や洗口剤では除去できず、歯磨きで物理的に取るしかありません。
歯石になると歯磨きでは取ることができなくなるため、専門的なクリーニングが必要になります。

歯石は歯磨きでは取れない。
歯石は歯磨きでは取れない。

歯磨きやフロスをしたときに出血がある場所は、歯肉炎が起きているサインです。
出血がある箇所は細菌の「餌場」となり、放置すると歯周炎に進行していきます。

サイレントディジーズ(Silent Disease)
サイレントディジーズ(Silent Disease)と呼ばれ、自覚症状が出る頃には重度の歯周炎になっていることもあります。

歯周病は進行度合いに個人差があるのも特徴です。

歯周病の進行の個人差
歯周病の進行には個人差があります。

ある人は歯磨きが全然できていないのに少ししか進行せず、ある人は歯磨きが比較的できているにも関わらず進行してしまう。
遺伝的要因も強いのが虫歯とは異なる点です。

双子の研究では、歯槽骨(歯を支える骨)の高さの55%が遺伝的要因によるとされています(Michalowicz 1991)。

遺伝的要因の説明図
ご家族で中年期に歯周病による抜歯経験がある場合、リスクが高い可能性があります。

歯周病は生活習慣だけでなく、遺伝や全身の健康状態によっても左右される疾患です。

3. 歯周病の治療法

基本治療(歯科衛生士と患者さんの協力)

基本治療(歯科衛生士と患者さんの協力)
歯周治療は、歯科衛生士と患者さんの協力で進めます。

① 歯磨き指導:歯ブラシに加えフロス・歯間ブラシを活用

② 歯石・プラークの徹底除去(スケーリング・PMTC・エアフロー)

PMID: 6368611 Magnusson 1984の報告より
PMID: 6368611 Magnusson 1984の報告より

歯石除去だけでは十分に改善しない場合があります。(Magnusson 1984)

患者さんと協力して出血を減らし、歯グキを正常な状態に戻すことが治療のゴールです。

付着の回復+維持が歯周治療のゴールです
付着の回復+維持が歯周治療のゴールです。

当院での治療方法(EMSエアフロー)

当院ではスイスEMS社製の最新機器「エアフロー プロフィラキシス マスター」を使用し、バイオフィルムやステイン、歯石の除去などを行っています。

エアフロープロフィラキシスマスター
スイスEMS社製 エアフロー プロフィラキシス マスター

従来の手用スケーラーよりも低侵襲で患者さんの負担を軽減できるように設計されており、特にエアフローは痛みを感じにくいです。

エリスリトールパウダーでプラーク除去
エリスリトールパウダーが歯の表面のプラーク・着色を落とします。

GBT(Guided Biofilm Therapy)の手順に則って、患者様のお口の中を清潔な状態に導いていきます。

GBT手順イメージ
GBT手順に基づいたバイオフィルムコントロールを行います。
  • 費用:¥1,000〜¥2,500(保険診療・1回あたり)
  • リスク・副作用:
    歯周病治療を行うことで歯ぐきが引き締まり、
    「しみやすくなる・歯が長く見える・隙間が見える・揺れる」といったことが起こる場合があります。
    歯周ポケットが改善しきらなかった場合、
    歯周外科治療や歯周組織再生療法が追加で必要になることもあります。

4. 歯周外科治療・歯周組織再生療法 | 料金表

基本治療で改善しない深い歯周ポケットがある場合、歯周外科治療を行うことがあります。

歯周外科治療イメージ

歯周外科治療とは?

歯ぐきを切開し、奥深くに入り込んだ歯石や細菌を直接見ながら除去します。

フラップ手術
フラップ手術。切らずに治療するのは、すごく小さいポッケに手を突っ込んでゴミを全て取り除くようなものです。切開することで取り残しを減らすことができます。

骨の形を整え、細菌がたまりにくい環境にすることもあります。
深いポケットを浅くし、患者さん自身のセルフケアがしやすい状態にするのが目的です。

歯周外科治療説明図

ただし、歯周外科治療は「やれば治る」ものではなく、歯磨き習慣が整っていない場合には逆効果になることもあります。
(Nyman 1977)

Nyman 1977の報告
PMID: 340476 Nyman 1977の報告より。

歯周組織再生療法とは?

失われた骨や歯ぐきを再生させるための治療です。
特殊な薬剤(例:エムドゲイン)を使い、骨や歯の周囲組織の回復を目指します。

適切な症例・タイミングで行えば、骨や歯ぐきの付着が改善することが報告されており、歯を残せる可能性が高まります。

歯周組織再生療法
  • 費用:歯周組織再生療法 ¥100,000+税(自費)
  • リスク・副作用:
    歯周病治療を行うことが歯グキが引き締まり、「しみやすくなる・歯が長く見える・隙間が見える・揺れる」といったことが起こることがあります
    歯周外科治療や再生療法は「外科をやれば治る」わけではありません。
    成功の鍵は 「患者さんご自身の歯磨きの質」 と 「定期的なメインテナンス」になります。
    手術後も3〜6か月ごとの管理が必要で、放置すると再発・悪化のリスクがあります。

料金表

治療項目 費用
歯周基本治療 ¥1,500〜¥2,500(保険診療)
歯周外科治療 ¥5,000〜¥10,000(保険診療)
歯周外科治療 / クラウンレングスニング(自費) ¥100,000+税
歯周組織再生療法(自費) ¥100,000+税
根面被覆術(CTG) ¥60,000+税(1歯増えるごとに+¥20,000)

5. 歯周病の予防とメインテナンス | 料金表

歯周病予防とメインテナンス
 歯周病は「治して終わり」ではなく「継続管理」が大切です。

 一度剥がれた歯ぐきの付着喪失は再発しやすく、定期的な歯科検診とメインテナンスが必須です。

年に1回の歯科健診+問題があれば治療するグループと2-3ヶ月毎にメインテナンスを行ったグループでは大きな差があったことが報告されています(Axelsson 1981

CleanShot 2025-09-05 at 09.19.08@2x.png
CleanShot 2025-09-05 at 09.26.22@2x.png
CleanShot 2025-09-05 at 09.22.38@2x.png
 正しいセルフケアと歯科衛生士によるプロフェッショナルケアを続けることで、再発を防ぎます。

当院での治療方法(EMSエアフロー)

当院ではスイスEMS社製の最新機器「エアフロー プロフィラキシス マスター」を使用し、バイオフィルムやステイン、歯石の除去などを行っています。

エアフロープロフィラキシスマスター
従来の手用スケーラーよりも低侵襲で患者さんの負担を軽減できるように設計されており、特にエアフローは痛みを感じにくいです。

エリスリトールパウダーが歯の表面のプラーク・着色を落とします。
エリスリトールパウダーが歯の表面のプラーク・着色を落とします。

料金:歯周病の重症化予防は保険診療が認められているため、当院では全て保険診療にて対応しております。(¥3,000 - ¥5,000程度)


6. まとめ

CleanShot 2025-08-17 at 17.48.00@2x.png
歯周病は 歯を失う原因の第1位 ですが、

早期発見・早期治療、そして日々のセルフケアと定期的な管理で予防・進行抑制が可能です。

「歯ぐきから血が出る」「口臭が気になる」「歯がグラグラする」 といった症状がある方は、ご相談ください。

予約・お問い合わせはこちら

根管治療 / 料金案内

虫歯や外傷によって歯の神経に炎症や感染が起こった際に行う治療が「根管治療」です。 歯を残すために非常に大切な処置であり、予防と精密な治療が成功の鍵となります。

1. 根管治療が必要になる理由

  • 虫歯が進行して神経に達する
    虫歯は放置するとおよそ2年で神経まで到達します。

    虫歯イメージ 銀歯の下の虫歯
  • 神経の炎症により強い痛みが出る
    神経まで虫歯菌が入って炎症を起こすと感染した神経を全て取り除かないと治癒しません。
    また、放置すると根の先端の複雑な部分にも細菌が感染してしまうため治療後の再発率が上がります。

    神経の炎症
  • 放置すると神経が壊死し痛みはなくなる。壊死した部位では細菌が繁殖し、歯根の先に膿がたまることがある(根尖膿瘍)
    さらに放置すると急性根尖膿瘍になる可能性があり、死亡例もあるため非常に危険です。(米国では

    根尖膿瘍

    早期に治療を受けることで、抜歯を避けられる可能性が高まります。

2. 根管治療の流れ

  1. レントゲンやCTで状態を確認
    歯の根の長さ、根管の数、湾曲度合い、根尖部の骨の透過像などを確認します。

    確実な検査
  2. ラバーダム防湿で無菌的環境を確保
    再治療の主な原因は、「治療中の細菌感染」と「治療後の漏洩」と考えられています。ラバーダム防湿を行うことで、これらを防ぎます

    無菌的環境
  3. 細菌感染した神経や歯質を除去
    根管の入り口の大きさは0.1mm以下のこともあり、これファイルと呼ばれる器具で拡大して細菌が感染した神経や歯質を除去していきます。

    顕微鏡下での治療
  4. 薬剤で根管を充填・密封
    治療後は根管内を空洞の状態にせず、緊密に充填します。

    薬剤で根管を充填
  5. 被せ物で補強し、再感染を防ぐ
    根管治療を行った歯はたわみやすく、割れやすいことが報告されており、被せ物で覆うことで割れにくくすることができます。
    根管治療の質が悪いと、根尖病変は再発しやすいですが、被せ物https://kuribayashi-dc-tokyo.com/wp-content/uploads/2025/10/CleanShot202025-10-2620at2016.37.31402x.pngの質が悪いことも根管治療失敗の原因になります。

    被せ物1 被せ物2s

3. 保険治療と自費治療(マイクロエンド)の違い | 料金表

  • 保険診療は費用を抑えられる反面、使用できる器具や治療時間に制限があります。
    防湿が徹底されていない状態で、短い時間で複数回を治療することが多いです。終わった後の土台や被せ物の接着の弱さも漏えいの原因となります。
    そのため細菌が感染しやすく再治療になりやすいとされています。

    保険診療

    自費診療では、マイクロスコープやMTAセメント、Ni-Tiファイルを用いて、より最適な材料を用いて精密に処置できる選択肢があります。
    自費診療

  • 特に根管治療は初回が最も成功率が高いため、初回治療を適切に行うことがとても重要と考えられています。

    最初が肝心
  • 当院では根管治療専門医の先生の治療を受けることができます。
    根管治療を専門で行なっているため、複雑な根管治療にも対応が可能です。

    根管治療専門医の先生
  • 根管治療の料金一覧表

    治療項目 費用
    保険根管治療 ¥3,000-¥10,000程度
    根管治療専門医診察(初診料) ¥10,000+税
    前歯(初回治療) ¥100,000+税
    小臼歯(初回治療) ¥120,000+税
    大臼歯(初回治療) ¥140,000+税
    前歯(再治療) ¥120,000+税
    小臼歯(再治療) ¥140,000+税
    大臼歯(再治療) ¥160,000+税
    外科的歯内療法(前歯) ¥140,000+税
    外科的歯内療法(小臼歯) ¥160,000+税
    外科的歯内療法(大臼歯) ¥180,000+税
    破折ファイル除去 別途 ¥30,000+税
    パーフォレーションリペア(穿孔封鎖) 別途 ¥30,000+税
    コア築造 別途 ¥30,000+税

4. 神経を残す選択肢(生活歯髄温存療法)| 料金表

虫歯が深い場合でも、神経をすべて取らずに残す方法が選ばれることがあります。

  • シールドレストレーション:神経近くの虫歯を一部残して封鎖
  • 断髄法:神経の上部だけを除去し、残りを保存

ただし、すべてのケースで可能なわけではなく、診査・診断により判断されます。

CleanShot 2025-10-24 at 14.11.28

【ラバーダム下 シールドレストレーション法】

  • 費用:55,000+税
  • 治療回数:1回
  • 歯の神経(歯髄)に非常に近い虫歯の治療法です。
    神経付近の虫歯を全て取り除こうとすると、神経が露出してしまい、結果として神経を取る治療(抜髄)が必要になるリスクが高まります。
    シールドレストレーションでは神経付近の虫歯を完全に取り除かずに周囲を最大限の接着力で封鎖することで、神経を保護しつつ虫歯の進行を止めます。
  • リスク・副作用:
    神経の治療が必要になることがあります。
    噛み合わせが強い場合、割れたり脱離することがあります。
    経年的に接着部に着色が起こることがあります。
CleanShot 2025-10-24 at 14.23.48

【ラバーダム下 歯頚部断髄法】

  • 費用:77,000+税
  • 治療回数:1回+α
  • 歯の神経(歯髄)に非常に近い虫歯、初期の歯髄炎の治療法です。
    虫歯がレントゲン上で象牙質の半分を超え、重度歯髄炎の症状がない場合に適応可能です。
    細菌が感染していると思われる上部の歯髄のみを除去し、MTAセメントを充填することで、根間内の神経を残すことができ、歯を削る量が少なくなります。
    処置後、被せ物の治療が必要になります。
  • リスク・副作用:
    一時的に自発痛が出ることがあります。
    神経が壊死して根管治療が必要になることがあります。

5. 再根管治療について

過去に根管治療を受けた歯でも、根尖病変が再発することがあります。

根尖病変再発 根尖病変

その場合は「再根管治療」を行いますが、初回よりも成功率が下がる傾向があり、治療を行うべきかどうかの専門的な判断が重要です。

成功率が下がる

また根管治療が成功したとしても、治療によって歯自体の破折強度は下がったり、そもそも歯周病によって残したとしても抜歯になる可能性がある場合があり、総合的な判断が求められます。

総合的な判断

6. 根管治療のリスクと限界

根管治療における偶発性
  • 治療によって歯が残せないことが判明する可能性
  • 治療器具が折れて残る可能性
  • 治療後に違和感や痛みが残ることがある
  • 治療後に歯が割れて抜歯になる場合がある
  • 再治療や外科的処置が必要になることがある

治療には限界もあるため、治療後の予防や定期的なメインテナンスが非常に重要です。

ファイル破折のリスク

自由診療では新品のファイルを使用し、ファイル破折リスクを低減することができます。(必ず破折を予防するものではありません)

7. 根管治療後の被せ物の重要性

神経を取った歯は脆くなりやすいため、補強のための被せ物が必要です。

  • ジルコニアクラウン:強度が高く長持ちしやすい
  • セラミッククラウン(e.maxなど):見た目が自然で審美性に優れる

最新の接着技術を用いることで、「テーブルトップベニア」という歯を削る量を最小限に抑える方法もあります。

emax 接着技術の向上 テーブルトップベニア

8. まとめ

歯の神経の治療は、適切な診査・診断と早期の適切な治療が重要になります。

予約・お問い合わせはこちら

歯を抜かないための治療

歯を残せない?それはなぜ?

歯を抜かないといけない。と言われた方、なぜ抜かないといけないのでしょうか?

① 歯を抜かないと痛みが取れないから

② 歯の根が割れているから

③ 被せ物の型取りができないから

④ 歯に十分な高さがないから

多くの場合、①抜かないと痛みが取れないから。ではなく、③や④で無理やり残しても数ヶ月で被せ物がダメになる可能性があるからとか、被せ物がちゃんと作れないからといった理由もあります。

CleanShot 2025-10-26 at 17.16.37

例えば、歯の高さが少ないと、被せ物は取れやすいです。なので写真のような状態の場合、高さをコンポジットレジンで足す必要があります。奥歯では高さが4mmあると被せ物がとれにくいです。

CleanShot 2025-10-26 at 18.18.53 CleanShot 2025-10-26 at 17.26.22

しかしながら、コンポジットレジンのみが歯グキより上にあるような状態では、被せ物に力がかかった際にコンポジットレジンと歯の境目から容易に折れてしまいます。

CleanShot 2025-10-26 at 17.52.22

なので、自分自身の歯が歯グキから1.5mm程度は上にある必要があります。

CleanShot 2025-10-26 at 17.18.17

この実験ではわずか113回〜1140回4kgの荷重をかけただけで折れてしまいました。(1日600回以上咀嚼すると言われています。)

CleanShot 2025-10-26 at 18.21.51

こういった理由から、歯グキより上に歯がほとんど残っていない場合は抜歯が第一選択。とされています。

無理やり被せ物を作っても数日〜数ヶ月しか保たないことが想定されるからです。

CleanShot 2025-10-26 at 18.23.23

そういう状態の歯を長く保たせるようにする方法には「クラウンレングスニング」と「エクストルージョン」があります。

歯根が割れている場合は、残念ながら抜歯になります。

その場合は、親知らずを移植するという方法があります。

クラウンレングスニング(歯冠長延長術)とは?|料金

CleanShot 2025-10-26 at 18.24.11

① 1.5mm以上被せ物が自分の歯を覆うようにする

② 被せ物の高さ4mmを確保する

ことを目的に歯グキを切って、中の骨を削って下げる方法です。

  • 費用:¥100,000+税
  • 回数/期間:1回、6ヶ月の待機期間
  • リスク・副作用:
    隣在歯の歯グキの位置も下がります。
    知覚過敏の症状が出ることがあります。
    後戻りをすることがあります。
    噛み合わせによっては治療適応でないことがあります。
    歯周病の影響を受けやすくなります。

治療後は6ヶ月ほど仮歯で待機してから最終的な被せ物を作ります。

ただし、歯冠歯根比が1:1を切る場合は適応外になります。

エクストルージョン(矯正的歯根挺出)とは?| 料金

  • 費用:¥150,000+税
  • 回数/期間:1ヶ月(3回のゴム交換)+6ヶ月の保定期間
  • リスク・副作用:
    歯根を挺出するための装置の接着剤が取れることがあります。
    後戻りをすることがあります。
    噛み合わせによっては治療適応でないことがあります。
    歯槽骨がついてきてくる場合に、歯冠長延長術が必要になることがあります。(その場合の費用は半額の¥50,000+税)
    歯周病の影響を受けやすくなります。

治療後は6ヶ月ほど仮歯で待機してから最終的な被せ物を作ります。

ただし、歯冠歯根比が1:1を切る場合は適応外になります。

親知らず移植(自家歯牙移植)という選択 | 料金

  • 費用:¥110,000+税
  • 回数/期間:3回(抜歯+根管治療2-3回)、1ヶ月(固定装置)+動揺がなくなるまで待機(平均治療期間3ヶ月)
  • リスク・副作用:
    歯周炎による脱落、炎症性吸収により将来抜歯が必要になる可能性がある。
    年齢が高いほど失敗率が高い(45歳以上)
    アンキローシス(骨癒着)が起きる可能性
    固定装置が取れる可能性
    10年生存率70%

治ってきている途中の歯グキに穴を開けます。

1-2ヶ月だと軟組織のみ出来ていて、まだ骨はできていません。

事前に親知らずのレプリカを作っておくことで、移植先の穴の調整を行うことができ、抜歯した親知らずをすぐに移植することができます。

抜歯から時間が経つほど移植は失敗してしまうのでこの方法を取ることで親知らずの移植成功率は高くなります。

移植した歯は神経が壊死し、異物として認識されてしまうため

2週間以内に神経をとったほうが失敗率が低いとされます。

1ヶ月程度を目処に固定装置を外し、動揺がなくなった時点で最終的な被せ物を入れます。(詰め物で終わる場合もあります)

明確な抜歯の基準はない

歯科医師は『長期的に保たない場合』抜歯をした方がいいと言ってしまいがちですが

患者さんはそうは思っていないこともあります。

「半年とか、2,3年もてばいい。今の見た目が大事。」という方にはヒビが入っている歯に被せ物をするのもありかもしれません。

そこに費用・期間をかける価値があるのか?というのは人それぞれの価値観次第なので、「40万円かけてどれくらい保つかわからないけど、それでもいい」という場合にはあえて残すこともあります。

健康保険を使用する場合は国民の税金を使っているため、予後が悪い歯と診断した歯を無理やり残して無駄な医療費を使うのは良くないと思います。

ですが、私費を叩いてでもどうにか残したいというのであればそこはお金をかける価値があるのではとも思います。

当院では、患者さんの価値観を大事にし、治療の選択肢・料金・メリット・デメリット・予後などの情報を提供し最終的には患者さん自身に治療法を決定していただいております。

まとめ

他院で抜歯と言われた。ちゃんと残せないかどうか精査したい。等の相談も承っています。
「自分の歯を守りたい」「できるだけ削りたくない」という方は、ぜひ一度ご相談ください。

予約・お問い合わせはこちら

インプラント/料金案内

歯を抜かないといけない、その代わりになるものを入れる必要がある。
そういう状況になった場合の選択肢には「インプラント」「ブリッジ」「入れ歯」「何もしない」があります。
それぞれの選択肢のメリット・デメリットと、分かりにくいインプラント治療の流れについて解説をします。

1. 歯を失った時の3つの選択肢+2

CleanShot 2025-08-17 at 18.43.03
① インプラント

人工のチタン製の歯根を支えに被せ物をする治療

  • 周囲の歯を削らないで治療できる。
  • 他の歯の負担を軽減できる。

 リスク・副作用

  • 骨の量や全身状態の条件が必要
  • 合併症の可能性(術後痛・しびれ・感染など)
  • インプラントは虫歯にはならないが、歯周病には罹る
  • 金属アレルギー(チタンアレルギーは非常に稀)
② ブリッジ

両隣の歯を削り、一塊の被せ物をする治療。

  • 違和感が少ない
  • 治療期間、回数が少ない

 リスク・副作用

  • 両隣の歯の合併症(歯髄壊死、歯根破折、虫歯、歯周病)
  • 欠損範囲・歯の状態次第で適応が限られる
  • 金属アレルギー(保険診療の場合)
③ 部分入れ歯(義歯)

レジン製の床を使って粘膜上に無くなった歯を再現する治療。

  • 骨量が少なくても適応しやすい

 リスク・副作用

  • 動きによる痛み・違和感
  • バネが見える、レジンの変色が起こる
  • 鉤歯への負担(虫歯/破折/歯周病リスク増)
  • 金属アレルギー
④ 何もしない(短縮歯列)

症例により“治療しない”選択もあり得る(一番後ろの歯の場合)

  • コストがかからない
  • 特に第2大臼歯の欠損はケースにより介入不要の判断も(個人差あり)

 リスク・副作用

  • 挺出・隣接歯の傾斜・将来の治療難度上昇などの可能性
  • 他の歯の負担の増加(根管治療された歯は特に割れやすくなる)
⑤ 自家歯牙移植(親知らずなどを移植する)

動画解説はこちら

親知らずなどの噛み合わせに関与していない歯を移植する(詳細は「歯を抜かないための治療」で)

  • コストがインプラントよりも安い
    ¥110,000+税
  • 1ヶ月程度、固定装置が必要
  • 根管治療・被せ物が必要

 リスク・副作用

  • 歯周炎による脱落、炎症性吸収により将来抜歯が必要になる可能性がある。
  • 年齢が高いほど失敗率が高い(45歳以上)
  • アンキローシス(骨癒着)が起きる可能性
  • 固定装置が取れる可能性

2. インプラント治療の全体像

馴染みのないインプラント治療の方法について手順を追って解説します。

インプラントは期間がかかる治療ですが、回数が多くかかるわけではありません。待機期間がある

① 抜歯と同時の骨造成(リッジプリザベーション)※ 必要な場合

 抜歯後は生体の治癒で骨・歯ぐきがやや収縮しやすい

 抜歯と同時に骨補填を行うと収縮を抑え、将来の治療計画が立てやすい

  • 費用:¥100,000+税
  • リスク・副作用:腫れ・痛み・術後感染のリスク
② 治癒待機〜インプラント精密検査・CT・デジタルプランニング

抜歯・リッジプリザベーションから3か月前後でCTを撮影し、骨の状態評価を行い、インプラント治療が可能か確認します。

 ガイドサージェリー:コンピュータ上で設計した通りの方向・深さで埋入するためのマウスピースを使用し、安全性と正確性の向上を目指します

  • 検査費用:¥100,000+税
③ インプラント埋入手術(1回法/2回法)

 骨の条件が良ければヒーリングキャップを歯ぐき上に出す方法(1回法)を選択し、2-3ヶ月後に型取りを行います。

 大幅な造成を行った場合などは粘膜下で静置して安定化を図り、6-9ヶ月後にヒーリングキャップを歯ぐき上に出す方法を行います。(2回法)

当院では世界三大インプラントメーカーのアストラテック社のインプラントを使用しています。

  • 費用:¥240,000+税
  • リスク・副作用:腫れ・痛み・術後感染のリスク
④ 角化歯肉移植 FGG  ※必要な場合

 角化歯肉という硬い歯グキが不足している場合は、清掃性と炎症リスクを考慮し、角化歯肉2mm程度を目安に増量することがあります。

  • 費用:¥60,000+税
  • リスク・副作用:腫れ・痛み・術後感染のリスク
⑤ 型取り〜上部構造装着

 埋入後2〜3か月を目安に連結を確認し、印象→装着へ

 スクリューアクセスは樹脂で封鎖し、トラブル時に着脱・調整可能な状態にします。

  • 費用:¥200,000+税
  • リスク・副作用:インプラントは虫歯にはならないが、歯周病には罹る
    補綴物が欠けてくる可能性
トータル期間の目安(個人差あり)

最短で3-4ヶ月、最長で16ヶ月のケースもあります。

  • 抜歯・骨造成→約3-4か月待機→CT・ガイド→埋入→2〜3か月→上部構造
  • 骨条件により延長(最大で約16か月のケースも)/既存骨が十分なら短縮も(最短で3-4ヶ月)

動画解説はこちら

3. リスク・合併症と長期成績

  • 手術時・直後:痛み/腫れ/出血/しびれ/術後感染(報告では数%程度)
  • 装着後:インプラント周囲炎、上部構造のチッピング、スクリュー緩み・破折 など
  • 生存率の目安:10年〜20年で90%以上の高い生存率が報告されているが個人差あり
  • 重要: 喫煙、既往の歯周病、メインテナンス不良はトラブルリスクを高める傾向
  • 定期的なプロフェッショナルケアとセルフケアの継続が前提

4. インプラント治療費の目安

料金表

治療項目 費用
インプラント精密検査+ガイド作成 ¥100,000+税
インプラント下部(10年保証) ¥230,000+税
インプラント上部(10年保証) ¥200,000+税
補助的治療項目 費用
リッジプリザベーション ¥100,000+税
GBR(1歯) ¥120,000+税
GBR(大規模) ¥180,000+税
ソケットリフト ¥60,000+税
サイナスリフト ¥300,000+税
FGG ¥60,000+税

骨が十分にある場合は左記の治療費のみ。

骨が十分にない場合は右記のいずれかの治療が必要になります

個々の症例により必要な処置が変わるため、カウンセリングで個別にご案内します。

料金例
インプラント精密検査・ガイド作成 ¥100,000+税
インプラント下部(10年保証) ¥230,000+税 x3本
インプラント上部(10年保証)¥200,000+税 x3本
総治療費 ¥1,390,000+税(アストラテックEV Osseo Speed 3本埋入)

リスク
手術時・直後:痛み/腫れ/出血/しびれ/術後感染(報告では数%程度)
装着後:インプラント周囲炎、上部構造のチッピング、スクリュー緩み・破折 など
生存率の目安:10年〜20年で90%以上の高い生存率が報告されているが個人差あり
重要: 喫煙、既往の歯周病、メインテナンス不良はトラブルリスクを高める傾向
定期的なプロフェッショナルケアとセルフケアの継続が前提

5. よくある質問(FAQ)

Q. 痛みはありますか?

A. 術式や個人差によります。局所麻酔や鎮痛薬で負担軽減に配慮します。

Q. どれくらい持ちますか?

A. 20年以上の長期成績93%などの報告はありますが、清掃状態・咬合・生活習慣により個人差があります。

Q. メンテナンスの頻度は?

A. 目安は3〜6か月。歯科医師・衛生士が状態に応じてご提案します。

6. まとめ

インプラントは成功率が高い治療で、噛む力のコントロールに優れた治療ですが、適応症を選ぶ治療です。

インプラントを検討されている方は、ぜひご相談いただけたらと思います。

予約・お問い合わせはこちら

ホワイトニング

Dr.大原の体験記録

ホワイトニングってどれくらい白くなるの?費用は?回数は?**
後戻りする?ホワイトニングサロンより高いのはなんで?**
ホワイトニング歯磨き粉って効果あるの?**
ホワイトニングを検討されている方はぜひ参考にしてみてください!

1. 写真で見るホワイトニングのビフォーアフター

ボーテ式ホワイトニング

ボーテ式ホワイトニング

この写真は当院でホワイトニングを行った方の実際のお写真です。

Before:全体的に黄ばみがあり、やや暗い印象を与えていた(シェードA3.5)
After:明らかに歯の色が明るくなった(シェードBW3)

この方は結婚式に向けて、「できる限り自然で清潔感のある白さにしたい」というご希望のもと、
ホームホワイトニング2ヶ月とオフィスホワイトニング4回を併用して行っています。

施術内容:ボーテ式ホワイトニング2ヶ月コース
費用:税込¥144,100
期間:約2ヶ月

2. ホワイトニングってどれくらい白くなるの?費用・期間は?

ホワイトニングはオフィスホワイトニングとホームホワイトニングの2種類あります。

強力な光照射
オフィスホワイトニングの特徴

歯科医院で薬剤を塗って強力な光照射を使って活性化させることで歯の漂白を行います。

平均で9.1シェード

初回に平均で9.1シェード上がり、1週間で1-2シェード戻ります。

オフィスホワイトニング

1回あたり税込¥23,100の費用がかかりますが、即効性があるのが特徴です。
すぐ白くしたい!という方や、
自分でマウスピースに毎日ジェルを入れるのは難しそうという方にオススメになります。

ホームホワイトニングの特徴
ホームホワイトニング1

歯科医院で歯型を取ってマウスピースを作ります。
自宅でマウスピースに薬剤を塗り、それを長時間使うことで歯の漂白を行います。

ホームホワイトニング2

ホームホワイトニングは4週間使用するとおおよそオフィスホワイトニング1回と同等の効果が得られます。
しっかりと白くするためには長期間かかるのでホームホワイトニングがオススメです。
またジェルを買い足すことでいつでも後戻りした分を戻すことができます(リタッチについては後述)。
長期的に見るとオフィスホワイトニングよりもホームホワイトニングのほうが安く済むことが多いです。
テトラサイクリン歯の方にはホームホワイトニングをお勧めしています。

ボーテ式ホームホワイトニングス

ボーテ式ホームホワイトニングスタートセットは税込¥38,500です。
(マウスピーストレー上下・付属品+ジェル10日分+NBベリーホワイト+NBトゥースペースト)
追加のホームジェルは10日分で税込¥7,700になります。

3. 後戻りについて - 予防方法・リタッチ -

ホワイトニングの効果は残念ながら永久的なものではありません。
日々の食事から再着色していきます。
それを防ぐためには「ホワイトニング歯磨き粉」や、「定期クリーニング」が有効です。

定期クリーニング

特にパウダーや超音波を使用したクリーニングは着色除去効果が高いためオススメになります

動画解説はこちら

ですが、どんなに気を付けていても、時間の経過とともに後戻りは避けられません。

後戻りを防ぐ方法
1. オフィスホワイトニングのリタッチ

歯科医院で再度ホワイトニングを行います。短時間で効果を実感できるのがメリットです。
後戻りの程度に合わせて、施術時間や薬剤の濃度を調整してもらえます。
終了後1回目は3-4ヶ月に1度
それ以降は半年に1度行えば気にするほどの再着色は生じません。

2. ホームホワイトニングのリタッチ

一度マウスピースを作ってしまえば、薬剤だけ購入すれば好きなタイミングで手軽に行えるのが魅力です。
コチラは終了1ヶ月後に3日間連続で行い、それ以降は3ヶ月ごとに3日連続で行えば大丈夫です。

後戻りを防ぐために

4. ホワイトニング歯磨き粉の効果

ホワイトニング歯磨き粉

⚠️重要:ホワイトニング歯磨き粉にはホワイトニング効果がありません。
歯磨き粉に歯を漂白する成分(過酸化水素や過酸化尿素など)を配合することは認められていません。

歯磨き粉に歯を漂白する成分

では、なぜ「ホワイトニング歯磨き粉」と謳えるのかというと、それは歯の表面についた着色汚れ(ステイン)を、歯磨きという物理的な作用によって落とすことで歯本来の白さに近づける、という意味合いだからです。

実は歯磨き粉の「ホワイトニング」は薬事法で歯ブラシを使う物であれば効果に表記できるようになっています。
つまり、歯磨き粉で得られるホワイトニング効果は、あくまで「着色汚れを落とすことで、歯本来の白さを取り戻すこと」であり、歯科医院で行うホワイトニングのように歯の色自体を白くする効果とは全く異なるものになります。

ホワイトニング歯磨き粉と謳って販売されているものは「ピロリン酸」「ポリリン酸」などの着色をつきにくくするとされている成分が配合されていますが、どれくらい差が出るかは不明確です。

イオン結合を利用 ホワイトニングおすすめ紹介

以前紹介した記事でもお伝えしたのですが、ホワイトニング歯磨き粉はどれが一番効果があるかというのがわかりません!

着色はどれが一番

なので市販のものであればなるべくフッ素が多く入っているものをお勧めしています。

LION

ボーテ式ホワイトニングでは後戻りをしにくくするためのホワイトニング歯磨き粉をお渡ししています。

ベリーホワイト

ベリーホワイト
清掃効果が高く、着色を落とすのに優れているとされます。

ベリーホワイト

NBトゥースペースト
「ハイドロキシアパタイト」と「硝酸カリウム」を配合し、ホワイトニングによる知覚過敏を低減させます。

5. ホワイトニングサロンとの違い - 漂白と清掃 -

日本の法律では、歯の内部を漂白して白くする行為は医療行為と見なされ、
歯科医院で行うホワイトニング治療に限定されています。

つまりホワイトニングサロンなどの店舗では歯の漂白ができません。
では何をしているかというと、歯の表面の清掃を行っています。

界面活性作用

もちろん表面の着色を取ることで、歯を白くすることはできますが
歯科医院での定期検診でも同じことができます(しかも保険適応です)。

歯科医院でほのホワイトニングがオススメな理由

そしてそれ以上に綺麗にするためには歯の内部に浸透した着色物質を漂白する必要があります。
「1年半以上通っても思ったより白くならない」と言って当院に来られた患者さんもいるので
しっかり白くしたいのであれば歯科医院でのホワイトニングをお勧めします。

歯科医院でのホワイトニング

6. まとめ

ホワイトニングは見た目の印象を大きく変えることができます。
まずはカウンセリングで現在の歯の色・ご希望の白さ・期間などを一緒に確認し、
最適なプランをご提案します。

予約・お問い合わせはこちら

ガムピーリング

歯グキの色が黒くて気になる💦
ホワイトニングで歯が白くなったら歯グキの色も気になってきた😱
そんなお悩みをお持ちの方へ、
ピンク色の歯茎を取り戻す、ガムピーリングのご紹介です

歯グキの色が黒くて気になる💦

ガムピーリング1

ホワイトニングで歯が白くなったら歯グキの色も気になってきた😱

ガムピーリング2

そんなお悩みをお持ちの方へ、

ピンク色の歯茎を取り戻す、ガムピーリングのご紹介です

1. ガムピーリングとは?費用・回数・副作用

ガムピーリングは、歯茎の黒ずみや色素沈着を改善し、健康的なピンク色に戻すための治療法です。

この治療では、歯茎の表面にフェノール系の薬剤を塗布し、化学的なやけどを意図的に引き起こすか、レーザーを使用してメラニン色素沈着のある歯茎を蒸散させます。

ガムピーリング薬剤

ガムピーリングでよく使用される薬剤(カルボール)

当院では痛みの少ないフェノール系薬剤を使った治療を行っています。

回数:1回、20-30分の予約枠
費用:片顎 ¥11,000
副作用:痛みがヒリヒリ〜軽度(麻酔いらない)
1週間ほどしみやすい。口内炎の発生。
アナフィラキシー反応(重篤な場合)

※フェノール系薬剤にアレルギーがある場合は利用できません。

2. 治療の手順 解説

動画ver.はこちら

1. 唇の保護・術野の消毒

唇にワセリンを塗り保護し、口角鈎やオプトラゲートで口唇圧排します。

ガムピーリング:口唇の保護

ガムピーリング:口唇の保護が重要

2. フェノール系薬剤の塗布

まず、メラニン色素が沈着している歯茎の部分(角化歯肉)に、フェノール系の薬剤を慎重に塗布します。
薬剤が歯茎の表面に作用することで、
皮膚の浅い部分に軽度の化学やけどが起こります。
この時の痛みはほとんどありません。

ガムピーリング:フェノールの反応

ガムピーリング:フェノールの当たったところが白くなっていく

3. 大量の水で洗う

塗った部分の色が変わったら大量のお水で洗います。以前はアルコールで拭くことも推奨されていましたが、中和効果はなく、大量の水で洗うのが確実です。

ガムピーリング:水洗い

ガムピーリング:フェノールが残らないように大量の水で洗う

4. 術後説明

しょっぱい物、酸っぱいもの、辛いものなどの刺激物を避けて過ごすことをお伝え。
痛み止めは必要に応じて処方します。

ガムピーリング:施術直後

ガムピーリング:施術直後

5. 術後1週間

治療後、数日から歯茎は徐々にむけ始め、最終的に美しいピンク色の新しい歯茎が現れます💡
1週間後には痛みもほとんど無くなりました。

ガムピーリング1週間後

ガムピーリング:1週間後。まだ少し発赤が見られる。

6. 術後1ヶ月

赤みも落ち着いて綺麗なピンク色になりました🌟

ガムピーリング:術後1ヶ月

ガムピーリング:術前と1ヶ月後

3. なぜ歯茎は黒ずんでしまうのか?予防方法について

歯茎はタバコ・口呼吸・摩擦などの刺激を受けるとメラニン色素沈着を起こすとされます。

特に喫煙をされる方は、歯医者が見たら

歯茎黒ずみ

「あ、この人はタバコ吸ってるかな?」🚬

とわかるくらい歯茎に異常が見られることがあります(歯周病にも大きな影響があります

寝てる時の口呼吸なども歯茎の黒ずみの原因になるとされますので、
テープを唇に貼る予防をしたり(https://amzn.to/3IrfYCN

すやピタ

結構いいと評判です。
いびきがひどい場合は睡眠外来に行くことをお勧めします!

4. まとめ

ガムピーリングは、笑った時に見える歯茎の印象を大きく変えることができる治療です。
気になる方はぜひ一度ご相談ください。

初めての方はこちら 初診予約 24時間予約受付 LINE予約 タップで電話をかける 03-5293-5551
診療時間 8:30〜18:00|休診/日・祝 土曜は17:30まで
〒100-0005 東京都千代田区丸の内1-6-5 丸の内北口ビルB1F
▲ PAGE
TOP