【初めて来院する方へ】これで予習は完璧!当日の流れをご紹介します♪
おはようございます☀️
栗林歯科医院 丸の内 助手の川村です!
今回は、初めて当院へお越しいただく患者様へ向けて、来院当日の流れをご紹介いたします♪
「どんなことをするの?」「その日に治療してもらえるの?」など、初診時の疑問や不安を少しでも和らげられたら嬉しいです☺️ 問診から始まり〜治療まで、基本的に60分程度お時間を頂いております。
長いなあ、、と思われるかもしれませんが、自分のお口の中のことを知れる大事な機会になりますので、ぜひ検診にいらしてくださいね!
1.受付・問診票の記入📝
まずは、保険証またはマイナンバーカードの確認をさせていただきます。
当日保険証を忘れてしまうと、保険が使えずに自費(現金10割負担)のみのご案内になるため、必ずご提示をよろしくお願いいたします!
次に問診票のご記入をお願いしています。
・来院するきっかけ
・全身のご病気、アレルギーの有無
・普段飲んでいる薬 など
お薬によって組み合わせが危険なものもありますで、可能な限り詳細にご記入いただければと思います!
※保険証の確認や問診票の記入のお時間があるため、余裕を持って来院いただけるとスムーズです🙇

2.歯科医師または歯科衛生士による問診👀
ご記入いただいた問診票を元に、歯科医師または歯科衛生士が詳しくお話を伺います。
「いつから痛みがあるのか」「どんな痛みなのか」「気になるところはどこか」など質問させていただきます。
疑問があれば遠慮なくご相談くださいね。
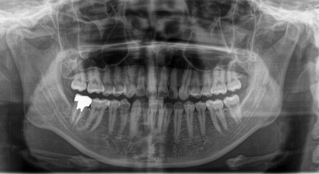
3.レントゲン撮影(2種類)
お口全体のレントゲンと一部を詳しく写すレントゲンの2種類を撮影いたします。
(必要に応じて、追加撮影させていただくこともあります。)
こちらは、見た目ではわからない虫歯や、歯の根っこ、骨の状態などを確認するためには必要な検査になります。


4.写真撮影📷
「口腔内写真(お口の中の写真)」「お顔の写真」を数枚撮影します。
治療前の状態を記録しておくことで、今後の治療計画や経過観察にも役立ちます。
お口周りにプラスチック製の器具をかけ、唇が写り込まないようにします。また、歯の裏側や噛み合わせを確認するために、温かい鏡を入れて撮っています。ここで温かい鏡を使用している理由は、患者様の息で曇らないようにするための工夫です!

5.虫歯・歯周病のチェック🦷
お口全体を確認し、虫歯や歯周病の有無、歯ぐきの状態などをチェックします。
歯周病の検査では、「プローブ」という器具を用いて歯ぐきをチクチク触っていきます。
先端には3.3.2.3mm刻みで分けられたメモリがついており、歯科医師、歯科衛生士が一定の力をかけながら測定します。ちなみに、3mm以内であれば健康な歯ぐきとされています。

マイクロスコープ
さらにお口を確認する際、歯科医師の先生方は「マクロスコープ」と呼ばれる顕微鏡のような機械を用いてチェックしていきます。肉眼では見れないような倍率で見ることができ、動画や写真を撮れるのも利点です。
お口の中、自分で気になっても見ることが難しいですよね、、、😫
動画・写真を用いて説明させていただくことで、自分の口がどうなっているかも口頭だけではなく、視覚的に理解を深めることができる貴重な機会になると思います!
実際にどのような流れでチェックしていくのか、動画で確認してみましょう!
6.必要に応じた初回の処置
診査の結果をもとに、以下のような初期治療や応急処置を行うことがあります。
・痛みがある場合の応急処置
・歯石除去(歯周病の基本治療)
・簡単な清掃やブラッシング指導
⚠️初診当日にできる治療には限りがあります。
初めての診察では、お口の中の状態を正確に把握し、記録することが何よりも大切です。
そのため、検査診断を優先させていただいており、
「その日のうちに全て治療を終える」
ということは基本的に難しい点をあらかじめご理解いただけますと幸いです💦
もちろん、「痛みが強く眠れない!」などの場合は医師の判断により、応急処置を優先して行いますので、ご安心ください☺️
最後に
当院では患者様一人ひとりのお口の状態に合わせて、丁寧にご説明させていただきながら治療を進めています。
「歯医者はちょっと苦手、、、」という方にも安心して通っていただけるよう、スタッフ一同心がけておりますので、皆様どうぞお気軽にご来院ください♪
また、当院のインスタグラムにも様々な情報を掲載しております。こちらも是非ご覧ください🦷
栗林歯科医院 丸の内院でもご相談を承っております。
論文知識の豊富なドクターや歯周病認定衛生士が在籍しております。
#オアゾ #予防歯科 #定期検診 #大手町 #歯医者 #東京駅 #丸の内 #おすすめ #PMTC #ホワイトニング