【ガムピーリング完全解説】 歯グキが黒いのを治す方法!痛い?回数は?費用は?動画解説も!
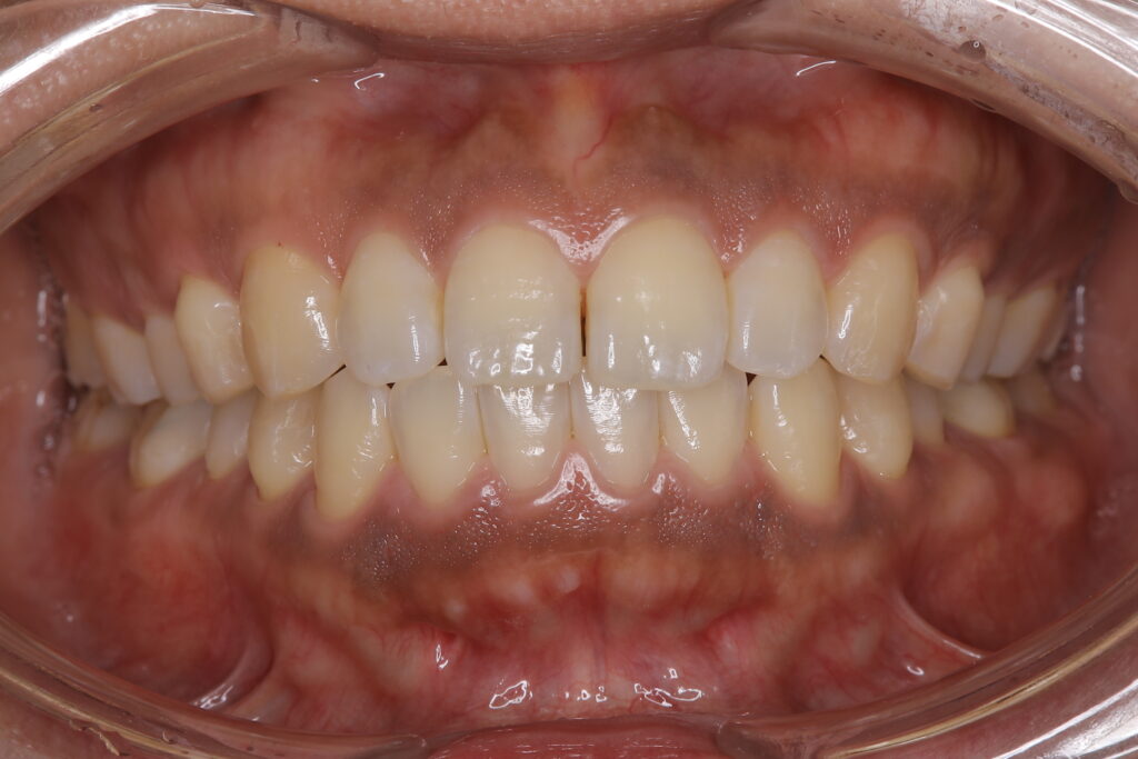
歯グキの色が黒くて気になる💦

ホワイトニングで歯が白くなったら歯グキの色も気になってきた😱

そんなお悩みをお持ちの方へ、
ピンク色の歯茎を取り戻す
ガムピーリングのご紹介です!
処置は痛い?回数は?
費用はどれくらいかかる?💰
実際の施術方法を知っておきたい!📝
後戻りを防止するには?👀
今日はそういったお悩みを解決できるように解説していきます
歯グキがピンク色になると、
ハイライト効果で歯も明るく見えます!

見た目の印象も大違いなのでお勧めの施術です👌
ガムピーリングとは?費用・回数・副作用
ガムピーリングは、歯茎の黒ずみや色素沈着を改善し、健康的なピンク色に戻すための治療法です。
この治療では、歯茎の表面にフェノール系の薬剤を塗布し、化学的なやけどを意図的に引き起こすか、レーザーを使用してメラニン色素沈着のある歯茎を蒸散させます。

ガムピーリングでよく使用される薬剤(カルボール)
当院では痛みの少ないフェノール系薬剤を使った治療を行っています。
回数:1回、20-30分の予約枠
費用:片顎11,000円
副作用:痛みがヒリヒリ〜軽度(麻酔いらない)
1週間ほどしみやすい。口内炎の発生。
アナフィラキシー反応(重篤な場合)
※フェノール系薬剤にアレルギーがある場合は利用できません。
治療の手順解説
動画ver.はこちら
1.唇の保護・術野の消毒
唇にワセリンを塗り保護し、
口角鈎やオプトラゲートで口唇圧排します

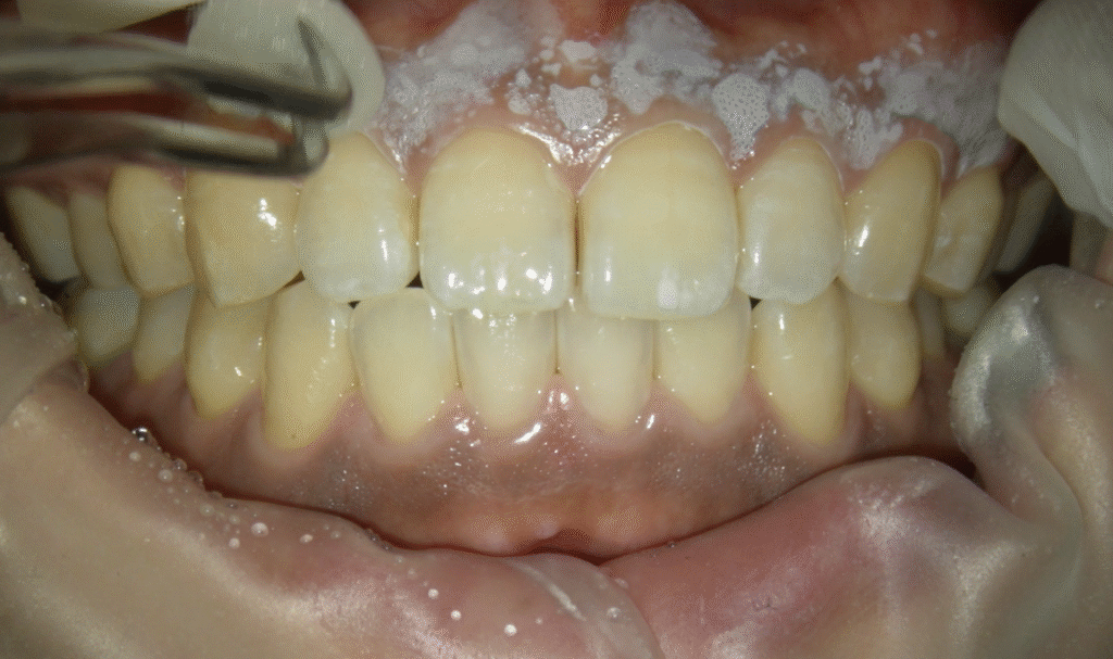
2. フェノール系薬剤の塗布
まず、メラニン色素が沈着している歯茎の部分(角化歯肉)に、フェノール系の薬剤を慎重に塗布します。
薬剤が歯茎の表面に作用することで、
皮膚の浅い部分に軽度の化学やけどが起こります。
この時の痛みはほとんどありません

3. 大量の水で洗う
塗った部分の色が変わったら大量のお水で洗います。以前はアルコールで拭くことも推奨されていましたが、中和効果はなく、大量の水で洗うのが確実です🚿

4. 術後説明
しょっぱい物、酸っぱいもの、辛いものなどの刺激物を避けて過ごすことをお伝え🙅
痛み止めは必要に応じて処方します💊

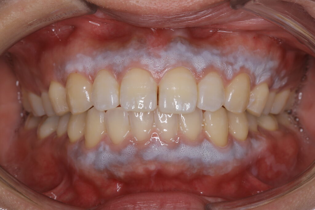
5. 術後1週間
治療後、数日から歯茎は徐々にむけ始め、最終的に美しいピンク色の新しい歯茎が現れます💡
1週間後には痛みもほとんど無くなりました。

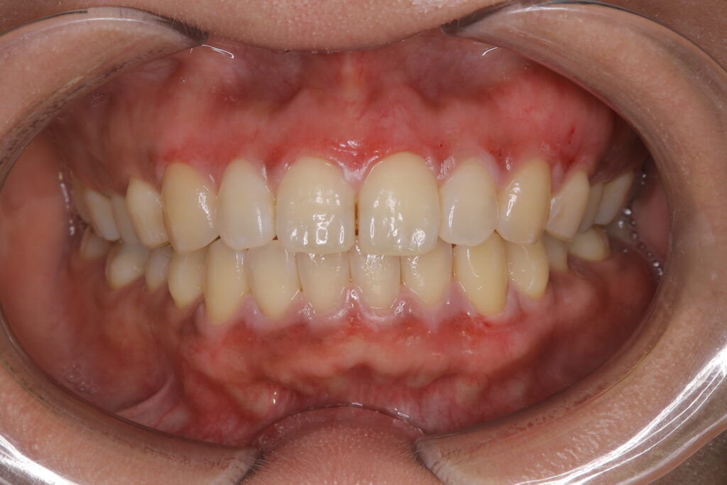
6. 術後1ヶ月
赤みも落ち着いて綺麗なピンク色になりました🌟

なぜ歯茎は黒ずんでしまうのか?予防方法について
歯茎はタバコ・口呼吸・摩擦などの刺激を受けるとメラニン色素沈着を起こすとされます。
特に喫煙をされる方は、歯医者が見たら

「あ、この人はタバコ吸ってるかな?」🚬
とわかるくらい歯茎に異常が見られることがあります(歯周病にも大きな影響があります)
寝てる時の口呼吸なども歯茎の黒ずみの原因になるとされますので
テープを唇に貼る予防をしたり(https://amzn.to/3IrfYCN)

いびきがひどい場合は睡眠外来に行くことをお勧めします!
まとめ
ガムピーリングは比較的手軽に見た目を良くすることができる審美治療です🌟
歯茎がピンク色になると歯も白く見えます👌
お悩みの方はぜひ一度ご相談いただけたらと思います!
著者:丸の内院長 大原 裕太

歯科の論文情報・予防情報発信を積極的に行い
SNS総フォロワー数17000人超え
歯科医院、ウェブセミナーで虫歯治療・予防に関する講演多数
お悩みの方は、栗林歯科医院 丸の内院でもご相談を承っております。
論文知識の豊富なドクターや日本歯周病学会認定の歯科衛生士が在籍しております。
トップ
オアゾ #予防歯科 #定期検診 #大手町 #歯医者 #東京駅 #丸の内 #おすすめ #PMTC #ホワイトニング
栗林歯科医院 丸の内
住所:東京都千代田区丸の内1丁目6−5 丸の内北口ビルディング 地下1階
アクセス:東西線大手町駅・JR東京駅から徒歩1分、丸の内オアゾ地下1階からお越しください