丸の内オフィス

医院設備

Class B 滅菌器

Class B 滅菌器

治療に使用したお口の中に入る器具は全て専用のパックに入れて、高圧蒸気滅菌機で滅菌をします。器具には治療時に付着した血液や唾液を介して、新型コロナウイルス、HIVなど、さまざまな感染症を引き起こすリスクがあります。120度以上の高温と高気圧で、小さく複雑な内部の器具も隅々まで消毒・滅菌を行います。

歯を切削する機械も全て患者毎に交換・滅菌を行っております。

滅菌できない器具は使い捨てのものを使用しております。

マイクロスコープ3台(歯科用顕微鏡)

マイクロスコープ

拡大視野で虫歯や歯の細かなひび割れを見逃さずに、早期発見・早期予防/治療につなげます。

また拡大視野では歯を削る量を抑えた負担の少ない治療や、精密な根管治療を可能にします。

マイクロスコープ治療風景

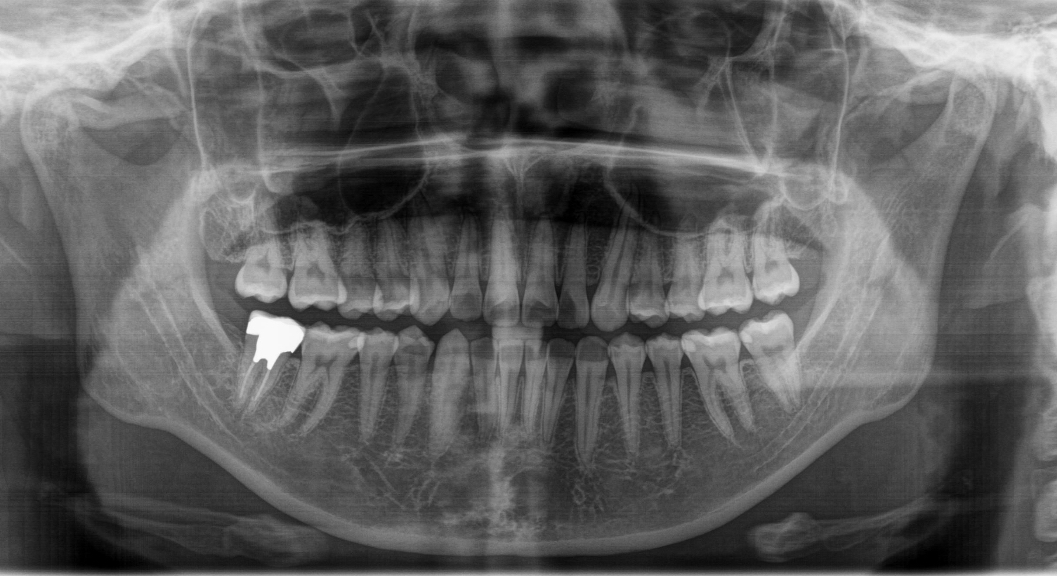
パノラマX線撮影機・CT撮影機

パノラマX線撮影機 CT撮影機

従来型のレントゲンより放射線量が10分の1のデジタルレントゲンを採用しています。

歯のレントゲン写真の放射線量は、日常生活で自然界から受ける量のわずか1~2日程度でしかありませんので、安心してレントゲン撮影を受けることができます。また撮影後に現像する必要がないため、撮影後すぐに確認する事が可能です。

CT撮影は、歯の根の長さ、根管の数、湾曲度合い、根尖部の骨の透過像、歯槽骨の高さなどを確認します。根管治療、歯周組織再生療法、インプラントなどの高度な治療には欠かせない機械になります。

CT撮影説明画像

電動麻酔注射器

電動麻酔注射器 電動麻酔注射器 電動麻酔器

できる限り痛みが少なくなるように電動麻酔器・極細針・貼る表面麻酔を使用しています。安定したスピード・圧力でスムーズな麻酔液注入を行い、手動による不安定な注入によって引き起こされる麻酔時に生じる痛みを軽減します。

貼る表面麻酔は刺入時の痛みをゼロ、1.8ml/2分の注入速度時の痛みを8-9割ゼロにするといった報告もあります。
朝比奈ら2019

理事長麻酔注射写真
初めての方はこちら 初診予約 24時間予約受付 LINE予約 タップで電話をかける 03-5293-5551
朝8:30から診療 | 診療時間 8:30〜18:00
休診/日・祝 土曜は17:30まで
▲ PAGE
TOP